Crec que la primera vegada que els hepatòcits amb citoplasma en vidre esmerilat es van mostrar en públic, va ser en un congrés de l’Associació Europea per l’Estudi del Fetge (AEEF). Era l’any 1971 o 1972. Una comunicació sobre els portadors crònics de HBsAg era presentada per un metge valencià, immunòleg de l’Hospital La Fe de València, on s’havia fet l’estudi.
L’HBsAg és la coberta del virus de l’hepatitis B (VHB) que es produeix en excés en les infeccions pel VHB i es detecta en el plasma amb mètodes de laboratori simples. HBsAg vol dir antigen de superfície de l’hepatitis B. La seva presència en el sèrum indica que hi ha una infecció pel VHB, que pot anar amb clínica (ALT elevades) o sense activitat (ALT normals).
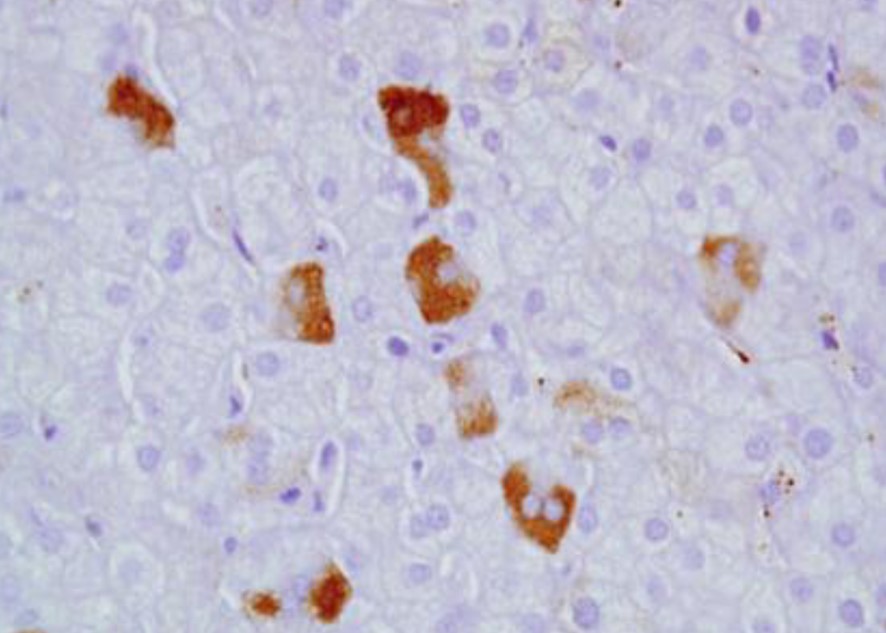
L’immunòleg valencià, en la seva presentació, mostra preparacions histològiques del fetge de portadors d’HBsAg sense lesió hepàtica activa, on es veien uns hepatòcits amb citoplasma amb aspecte de vidre esmerilat (ground glass hepatocytes en anglès) (Fig.1), com única alteració histològica, ja que no es veien lesions inflamatòries ni degeneratives. Al final de la presentació, diversos assistents demanen la paraula per preguntar què són aquestes cèl·lules. El metge valencià no té resposta i s’excusa dient que ell és l’immunòleg que ha participat en el treball i que el patòleg, que és qui va veure les cèl·lules, no ha vingut.

Tots els assistents queden sorpresos amb aquesta resposta, però es passa a la comunicació següent. Un dels presents, Stefanos Hadziyannis, un distingit hepatòleg grec, va prendre notes de la comunicació valenciana. Pocs mesos després, apareix un article sobre aquests hepatòcits, fet a Nova York en el servei de Hans Popper, la màxima autoritat mundial en Patologia hepàtica, i Hadziyannis, que havia anat a Nova York amb les biòpsies hepàtiques dels seus portadors d’HBsAg sense malaltia hepàtica que havia biopsiat a Atenes, com a primer signant (Cytoplasmic hepatitis B antigen in “ground-glass” hepatocytes of carriers. Arch Pathol. 96 (5): 327–30).
Jo penso que Hadziyannis, quan va tornar a Atenes del congrés, devia revisar les biòpsies hepàtiques que tenia de portadors de VHB sense lesió hepàtica i va veure els hepatòcits esmerilats que li havien passat per alt. Porta aquestes biòpsies al laboratori de Popper a Nova York, el qual demostra que els hepatòcits esmerilats es tenyien amb l’orceïna i contenien HBsAg en excés (Fig.2).

Jo vaig començar la meva tesi doctoral per caracteritzar els hepatòcits esmerilats l’any 1976 i la vaig acabar el 1978. Quan estava fent la tesi, vaig anar a Londres no recordo per quina raó, i vaig passar pel King’s College Hospital, on estava fent una estada el Dr. Vicente Arroyo, company del servei d’Hepatologia. Vaig passar a saludar el patòleg del servei, un suís que s’havia exiliat a Anglaterra, de nom Bernard Portman, que jo coneixia d’alguna reunió. Portava algunes biòpsies hepàtiques per comentar-li. Quan en va mirar una que contenia hepatòcits esmerilats, em va explicar la següent anècdota. En una ocasió va veure hepatòcits esmerilats en una biòpsia i, com que era una lesió no descrita, la va ensenyar al seu cap de servei, que sense immutar-se li va dir que era un artefacte sense importància. La ignorància et porta a deixar passar oportunitats de penjar-te una medalla. Un patòleg competent hauria de fer el que va fer Popper: investigar i publicar.
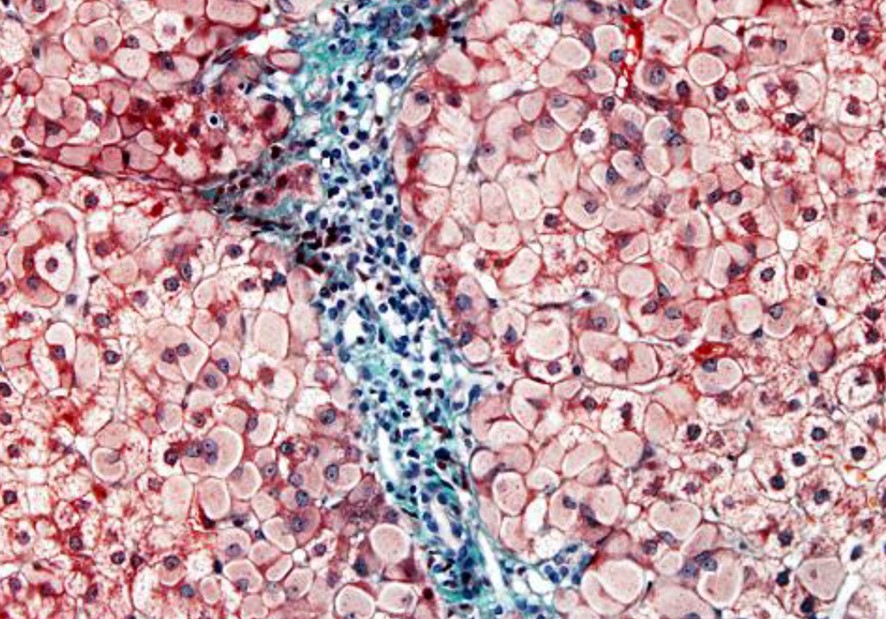
Quan ja havien passat uns anys d’aquesta història, vaig veure diverses biòpsies hepàtiques que tenien hepatòcits esmerilats una mica diferents dels que estaven infectats per VHB. Se situaven en les àrees periportals, deixaven un halo clar entre el cos d’inclusió i la membrana cel·lular, i no es tenyien amb l’orceïna, però sí amb el PAS (Fig.3). Vaig anar a buscar informació a la història clínica, i tots els malalts que tenien aquest tipus de cèl·lules eren alcohòlics en tractament amb cianamida, que és un fàrmac aversiu de l’alcohol. Vaig publicar aquestes observacions que ampliaven les etiologies dels hepatòcits esmerilats (M Bruguera, C Lamar, M Bernet, J Rodés. Hepatic disease associated with ground-glass inclusions in hepatocytes after cyanamide therapy. Arch Pathol Lab Med., 1986 ;110(10):906-10; Bruguera M, Parés A, Heredia D, Rodés J. Cyanamide hepatotoxicity. Incidence and clinico-pathological features. Liver. 1987 Aug;7(4):216-22)

Referències
Hadziyannis S, Gerber MA, Vissoulis C, et al. Cytoplasmic hepatitis B antigen in “ground-glass” hepatocytes of carriers. Arch Pathol 1973; 96:327-330
Ng IO, Sturgess RP, Williams R, Portmann B. Ground-glass hepatocytes with Lafora body like inclusions-histochemical, immunohistochemical and electron microscopic characterization. Histopathology. 1990;17:109-15.
Lefkowitch JH, Lobritto SJ, Brown RS Jr, Emond JC, SchilskyML, Rosenthal LA, George DM, Cairo MS. Ground-glass,polyglucosan-like hepatocellular inclusions: A “new” diagnostic entity. Gastroenterology. 2006;131:713-8.
Bejarano PA, Garcia MT, Rodriguez MM, Ruiz P, Tzakis AG. Liver glycogen bodies: Ground-glass hepatocytes in transplanted patients. Virchows Arch. 2006;449:539-4