Robert Jones era gal·lès, però va créixer a Londres on el seu pare era arquitecte. Al 16 anys marxa a viure a Liverpool, a casa d’un oncle seu metge, i allà estudia medicina de 1873 a 1878.
Treballa amb el seu oncle, que li facilita l’ingrés a l’Hospital Stanley de Liverpool com assistent de cirurgia. Aprèn el maneig de les fractures d’extremitats amb el seu oncle, que era expert en aquest camp.
El 1888, el nomenen responsable d’atenció dels 20.000 treballadors del projecte de construcció del canal de navegació que havia de connectar Manchester i Liverpool. El 1889, és acceptat com a fellow del Royal College of Surgeons.
En el seu càrrec de responsable mèdic de les obres del canal, fa construir tres hospitals en el trajecte del canal i un seguit de llocs d’atenció urgent en tot el trajecte.
Jones va operar uns 300 casos, i va atendre personalment 3.000 lesionats, el que Jones va contribuir a constituir la Societat Britànica d’Ortopèdia el 1894. Inicialment eren 31 membres, molts cirurgians generals, per això la societat es va dissoldre per reaparèixer anys després. Li va permetre adquirir una notable experiència en el maneig de les fractures i aprendre tècniques noves (Fig.1).

Jones es va fer traduir a l’anglès el primer article que havia publicat Roentgen sobre l’origen dels raigs X, després d’això va obtenir una radiografia d’un malalt seu, un nen que havia rebut un tret al canell, a qui no localitzaven el projectil que li havien disparat.
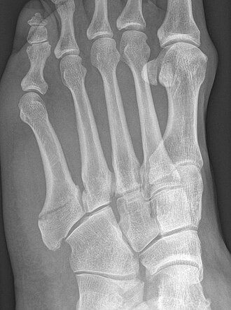
La fractura del 5é metatarsià es diu “fractura de Jones”, després que ho publiqués als Annals of Surgery el 1902, amb una sèrie de malalts amb aquesta fractura (Fig.2).

A l’inici de la Primera Guerra Mundial, Jones és mobilitzat com a cirurgià militar. Comprova que el tractament que s’aplicava en les fractures dels malalts hospitalitzats era inadequat. És nomenat Inspector d’Ortopèdia Mèdica amb l’encàrrec de vigilar que s’apliqui un tractament correcte. Aquesta mesura va determinar una accentuada reducció de la morbiditat i mortalitat d’aquestes lesions. Acabada la guerra, va dedicar la seva atenció a la patologia traumàtica i a la del nen i de les alteracions del creixement, estimulant la creació d’hospitals ortopèdics.
Referències
Wyw Tham et al. A Look Back in Time: Sir Robert Jones, ‘Father of Modern Orthopaedics’. Malaysian Orthopaedic Journal, 2014; ( (3): 37-41.