El primer diagnòstic en el que pensem ara davant un cas amb demència és el de malaltia d’Alzheimer, però fins a principis del segle XX als malalts grans amb signes de demència se’ls diagnosticava de demència senil.
El primer cas que es podria considerar com un cas de malaltia d’Alzheimer va ingressar el 1901 a l’asil per a malalts mentals i epilèptics de Frankfurt. Es deia Auguste Deter i tenia 51 anys (Fig.1).

Segons el seu marit, des de feia uns mesos tenia pèrdua de memòria, desorientació temporo-espacial, al·lucinacions i un gran trastorn del llenguatge.
Alois Alzheimer (1864 – 1915) fou el metge que rebé la malalta. Tenia 36 anys. Feia tres anys era metge assistent d’aquest centre, on havia conegut Frank Nissl (1860 – 1919), un psiquiatra que tindria força influència en ell.

Nissl li suggereix que es dediqui a la neuropatologia, cosa que Alzheimer va fer, sense deixar mai la clínica, interessant-se per les correlacions clínico-patològiques. Un dels objectius del seu exercici professional va ser buscar l’ organicitat dels processos mentals.
Alzheimer va fer la carrera de metge a l’estil alemany, distribuint la seva atenció a cursos donats en diferents facultats. Va estar de 1883 a 1887 a Berlin, Wurzburg, Tubinga i novament Wurzburg, on va obtenir el títol de llicenciat.
L’any següent de llicenciar-se, entra a l’asil de Frankfurt, on hi serà fins 1903, quan és admès al Centre psiquiàtric de Heidelberg, que dirigeix el professor Emil Kraepelin. Quan aquest es trasllada a Munic, Alzheimer el segueix i és nomenat cap del Laboratori de Neuroanatomia.
Alzheimer havia quedat molt impressionat amb el cas de la Sra. Deter, ja que mai havia vist una demència que comencés tan precoçment. Estant ja a Munic, s’assabenta que la malalta amb demència havia mort, quatre anys i mig després del seu ingrés. Alzheimer demana que li facilitin teixit cerebral de la pacient per fer un estudi histològic.

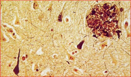
L’examen microscòpic demostra una atròfia de la cortical i la presència de plaques de substància amiloide amb degeneració neuronal (Fig.3). El 1906, presenta el cas en una conferència en el marc d’una reunió de psiquiatres, on hi assistia Jung, amb el títol “Una nova malaltia greu característica de l’escorxa cerebral”, però no va despertar gaire interès. L’any següent publica el cas juntament amb el seu cap, el professor Kaepelin, que és qui donarà el nom de malaltia d’Alzheimer a aquest procés en el seu Manual de Psiquiatria, publicat el 1910.
El 1911 publica un segon cas, i el 1912 Alzheimer és contractat per la universitat de Breslau com a catedràtic de Psiquiatria i Neurologia. Poc temps després d’arribar a Breslau, pateix un episodi d’amigdalitis seguit d’una sèpsia i una endocarditis, que li va deixar el cor malalt, i que va causar-li la mort al cap de pocs anys.
Durant la seva estada a Breslau, va continuar buscant dades que confirmessin la seva creença que totes les malalties mentals tenien una base orgànica, consistent en algun tipus de dany neuronal.

Alzheimer tenia una gran capacitat per la docència. Va formar un gran nombre de patòlegs de diferents països, entre ells dos espanyols, Nicolas Achúcarro (Fig.4) i Gonzalo Rodríguez de Lafora (Fig.5). El primer va descriure el primer cas de malaltia d’Alzheimer diagnosticat als Estats Units, quan estava treballant a Washington, i el segon va descriure un tipus d’epilèpsia amb unes inclusions en els hepatòcits, que duen el seu nom (Fig.6). Li va enviar per fer l’estudi histològic el tercer cas de malaltia d’Alzheimer, que aquest va estudiar.


Alzheimer era generós amb els seus col·laboradors, permetent que publiquessin dades obtingudes en investigacions dirigides per ell.
Va morir abans d’acabar un tractat d’Anatomia Patològica de les Malalties Mentals.
Voldria destacar l’existència de la relació familiar entre Nicolás Achúcarro (1880, Bilbao – 1918, Neguri) (el seu pare era oftalmòleg i gran amant de la música) i l’actual Joaquín Achúcarro (1932, Bilbao) pianista, especialista amb música espanyola per a piano. La família Achúcarro estava i està molt relacionada amb la música i en Nicolàs era oncle-avi de l’actual Joaquin.
M'agradaM'agrada
Joaquin Achúcarro sigue siendo un extraordinario pianista a pesar de su edad avanzada.
M'agradaM'agrada