El limfoma de Burkitt va ser descobert per un cirurgià irlandès, tenaç i observador que no havia estat acceptat pel Colonial Medical Service britànic perquè havia perdut un ull en una baralla escolar.
Denis Parsons Burkitt (1911 – 1993) (Fig.1) estudia medicina al Trinity College de Dublin, es gradua el 1933, i fa la residència en cirurgia a l’Hospital Prince of Wales de Plymouth, on coneix l’infermera Olivia Roger amb qui es casa.

Quan Burkitt no és acceptat pel Colonial Medical Service, s’allista al Cos Mèdic de l’Exèrcit, on hi estarà com a cirurgià destinat a Uganda, Kènia i Somàlia de 1943 a 1948. Acabada la guerra, sí que l’accepten al Colonial Medical Service, potser perquè era un servei amb pocs voluntaris. L’envien a fer de metge a Lira, una població de l’interior d’Uganda (Fig.2).

El que més sorprèn Burkitt a Lira és el gran nombre de malalts que veu amb hidrocele, que interpreta que està causat per filàries que obstrueixen els limfàtics de les gònades (Fig.3).

El primer en observar microfilàries va ser Otto Wucherer, que les veu el 1866 a l’orina dels seus malalts amb elefantiasi. L’anglès Timothy Lewis les troba a la sang. Joseph Bancroft descobreix que les microfilàries son les larves d’un cuc, la filària. La malaltia es transmet per mosquits i l’expressió clínica més freqüent és l’elefantiasi de les cames.
Burkitt és destinat a l’Hospital Mulago de Kampala, on troba gran nombre d’amputats per culpa de l’elefantiasi que no es poden valdre. En un viatge a Londres, descobreix que es fan pròtesis de plàstic barates i quan torna a Uganda crea un centre especial per fabricar-ne.
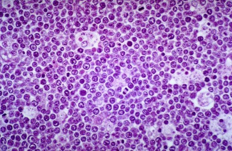
L’any 1955, veu el primer cas de limfoma de Burkitt en un nen que li consulta el pediatra de l’hospital per si el pot operar d’un tumor al maxil·lar (Fig.4). La biòpsia havia estat diagnosticada de limfoma o de sarcoma. La revisió de l’arxiu de l’hospital li permet trobar 29 casos més, que aviat publica en una revista quirúrgica que va tenir poca difusió entre clínics o patòlegs, fet que va retardar el coneixement de la malaltia.

Burkitt obté una beca per fer un viatge pels hospitals de l’Àfrica negra per veure si el tumor té una distribució geogràfica particular, ja que un col·lega li ha dit que no ha vist casos a Sudàfrica. En una conferència que dona per invitació a l’hospital Middlesex de Londres, un metge, el Dr. Michael Epstein, patòleg i viròleg del mateix hospital, se li acosta al final de la presentació per oferir-se a buscar la presència d’un virus a les cèl·lules tumorals, ja que està estudiant virus en tumors de les aus. El material enviat per Burkitt no és de bona qualitat i Epstein ha d’anar a Uganda a buscar material fresc. Al cap de dos anys de treball infructuós, Epstein consulta el Dr. George Palade, que va ser premi Nobel de Medicina l’any 1974, màxim expert en microscòpia electrònica biològica. Finalment Epstein identifica el virus, que coneixem com a virus Epstein-Barr, de la família dels herpesvirus (Fig.5). Yvonne Barr és una graduada irlandesa en zoologia que estava fent la tesi amb Epstein (Fig.6).

Amb informació de la causa, Burkitt segueix investigant i arriba a les següents conclusions: 1) els nens s’infecten de molt petits, amb la saliva de les mares que masteguen el que ha de menjar el nen; 2) hi ha una latència d’anys entre infecció i aparició del tumor i 3) la malària té un paper afavoridor de l’aparició del limfoma, ja que els plasmodiums provoquen una sobreproducció de cèl·lules B infectades pel VEB. La sobrecàrrega viral contribueix a l’aparició del tumor.

Burkitt torna a Londres el 1966 i treballa deu anys al Medical Research Council fins a jubilar-se. Els darrers anys es converteix en un predicador de la conveniència de la dieta rica en fibres per reduir la freqüència d’infart agut de miocardi, diabetis, obesitat i càncer de còlon. Els seus treballs epidemiològics sobre la relació de la dieta pobra en fibra i el càncer de còlon son de gran qualitat i tenen un reconeixement universal.
Referències
Burkitt, DP (1951) Primary hydrocele and its treatment: review of two hundred cases. Lancet i, 1341–1343
Burkitt D (1958). “A sarcoma involving the jaws in African children“. The British Journal of Surgery. 46 (197): 218–23
Epstein, M.A., Achong, B.G. & Barr, Y.M. (1964) Virus particles in cultured lymphoblasts from Burkitt’s lymphoma. Lancet, 1, 702– 703