El nom de Mallory evoca la meva primera etapa de metge hepatòleg, quan mirava les biòpsies hepàtiques que obtenia el Dr. Josep M. Bordas per punció hepàtica.
Tenia un petit laboratori que va deixar el patòleg de la Clínica Mèdica C, el Dr. Loyzaga, quan va deixar l’Hospital Clínic i va anar a treballar a l’Hospital Virgen del Rocío de Sevilla. També va deixar una laborantina molt competent, que vaig heretar.
Em passava hores mirant les biòpsies i els atles d’anatomia patològica o els llibres de Biòpsia hepàtica que vaig trobar. Feia un auto-aprenentatge en patologia hepàtica. Quan m’encallava, enviava la biòpsia problema a un patòleg de prestigi, Peter Scheuer, Kamal Ishak o Gerald Klatskin. Amb els seus comentaris a les biòpsies, que per mi eren un problema, vaig aprendre molt.
La meva aventura com a hepatopatòleg va venir determinada pel catedràtic d’Anatomia Patològica, el Dr. Sánchez Lucas, que em va dir, quan el vaig visitar a la tornada de París, que amb els espècimens de punció hepàtica no es podien fer diagnòstics perquè eren massa petits.
Vaig decidir que miraria jo les biòpsies, tema que ja m’havia interessat mirant les biòpsies hepàtiques del Dr. Scotto, i vaig pensar que ja n’aprendria.
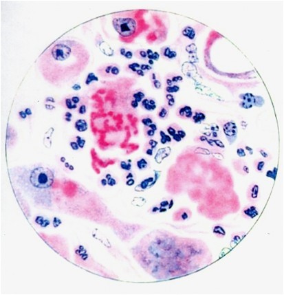
Recordo el Dr. Mallory (Fig.1) perquè vaig enviar una biòpsia que no havia sabut interpretar al Dr. Ishak, que era el cap de la Branca de Patologia Hepàtica de l’Institut de les Forces Armades, una veritable eminència, i em va dir que era una hepatitis alcohòlica farcida de hialina de Mallory.

Aquest material hialí porta el nom de Mallory, en homenatge al primer que la va identificar, el Dr. Frank Burr Mallory. Nascut a Cleveland, Ohio, el desembre de 1862, estudia medicina a Harvard i es doctora el 1890. Aquell mateix any comença a treballar al Boston City Hospital sota la direcció de William T. Councilman (Fig.2), a qui es deu la descripció dels cossos de Councilman, observació que l’ha fet passar a la història de l’Anatomia Patològica. Els cossos de Councilman son cossos acidòfils arrodonits derivats d’hepatòcits que experimentaren una degeneració acidòfila. Són comuns en les malalties que causen lesió hepatocel·lular, com les hepatitis agudes víriques i la febre groga.

Mallory fou professor d’Anatomia Patològica de la Universitat de Harvard fins la jubilació. Va fer conèixer la hialina de Mallory en un article publicat a Journal Medicine Research de 1903. Aquesta revista va canviar el nom per American Journal of Pathology. La seva obra més destacada és un manual de tècniques de laboratori (Fig.3), que va tenir molta difusió.

La hialina de Mallory és un material acidòfil, generalment intracel·lular, que es tenyeix amb el tricròmic de Mason, i tradueix un dany hepatocel·lular, causat especialment pel consum excessiu d’alcohol (Fig.4). Tenen una localització centrelobulillar, mentre que també se’n poden veure en les colèstasis cròniques i en la malaltia de Wilson, però en nombre escàs i de localització periportal.

Quan era jove, Mallory va viatjar a Praga, on va passar una temporada amb Hans Chari, famós patòleg austríac, que entre les seves múltiples aportacions a la medicina, va explicar amb l’anglès George Budd el mecanisme de la trombosi de la vena suprahepàtica. Frank Mallory és el pare del també patòleg G. Kenneth Mallory.
Referències
Louis, D., O’Brien, M. & Young, R. The flowering of pathology as a medical discipline in Boston, 1892-c.1950: W.T. Councilman, FB Mallory, JH Wright, SB Wolbach and their descendants. Mod Pathol 29, 944–961 (2016).
Marta J Báguena, Frank Burr Mallory (1862 – 1941). Historadelamedicina.org