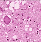
La malaltia de Creutzfeldt-Jakob és una malaltia rara, deguda a la presència en les cèl·lules neuronals de proteïnes intracel·lulars que tenen un plegament anormal i alteren la capacitat funcional de les neurones. Es coneixen com prions. Provoquen unes lesions histològiques del cervell d’aspecte esponjós, que justifica la seva denominació d’encefalopatia espongiforme (Fig.1). És una malaltia transmissible, associada a una pèrdua neuronal, que cursa amb demència progressiva i una alteració del sistema piramidal i extra-piramidal.

Es coneixen quatre formes de la malaltia: 1) una forma esporàdica, 2) una forma adquirida, de la que hi ha dues varietats, la malaltia de les vaques boges i el kuru, una malaltia pròpia dels indígenes de Nova Guinea que menjaven el cervell dels morts de la tribu (veure aquesta entrada del blog de 4/1/22), 3) una forma genètica o hereditària i 4) una forma iatrogènica associada al trasplantament de la duramàter o de la còrnia provinent de malalts asimptomàtics.
La forma esporàdica és la més corrent (85% dels casos) i es dona en persones de més de 60 anys.
El primer cas d’aquesta malaltia va ser descrit pel neuropatòleg alemany Hans Gerhard Creutzfeldt (Fig.2) el 1913, quan treballava a Breslau a la clínica del Dr. Alzheimer. Era una noia de 22 anys amb espasticitat i demència progressiva, associats a una lesió degenerativa cerebral, que va començar quan tenia 16 anys. Alzheimer va aprovar la publicació del cas, però no va poder ser publicat per culpa de la guerra fins el 1920.

Un any més tard, Jakob descriu quatre casos més de la forma esporàdica, mentre estava a la universitat d’Hamburg (Fig.3). Probablement algun dels casos publicats inicialment no correspongui a aquesta malaltia ja que no tots responien als criteris diagnòstics actuals. En la seva publicació, fa menció del cas publicat per Creutzfeldt i creu que es tracta de la mateixa malaltia que els seus casos.

L’any 1922, Walter Spielmeyer proposa que la malaltia descrita es denomini malaltia de Creutzfeldt-Jakob.
El 1966, la malaltia va ser descrita en indígenes de Nova Guinea que es menjaven el cervell i altres teixits dels morts de la seva tribu per conservar les seves qualitats (Fig.4).

La malaltia és extraordinàriament infreqüent i de curs ràpidament progressiu, i mortal en el primer any de malaltia, generalment sobreviuen menys de sis mesos.
Hans Creutzfeldt (1885 – 1964) era un neuròleg i neuropatòleg que estudià a la universitat de Rostock i a la de Kiel, llicenciant-se el 1908. El 1909, llegeix la tesi sobre Tumors pituïtaris i a continuació fa un any de navegació com a metge d’un vaixell.
El 1912, torna a Alemanya i troba feina a l’Institut Neurològic de Frankfurt com a neuropatòleg. D’allí passa a la Clínica neuropsiquiàtrica de Breslau a treballar amb el Dr. Alzheimer. Durant la 1ª Guerra Mundial és militaritzat com oficial naval.
Acabada la guerra, treballa a l’Hospital Charité de Berlin durant 14 anys, fins que torna a Kiel el 1938 com a professor emèrit i director de la Divisió de Neuropsiquiatria de la Universitat de Munich, on s’hi estarà fins 1955, quan es retira.
Durant la 2ª Guerra Mundial, Creutzfeldt utilitza la seva clínica com a refugi dels que eren perseguits pels nazis. La seva clínica i el seu domicili van ser destruïts, i la seva dona empresonada. Acabada la guerra va ser nomenat rector de la Universitat de Kiel.
Alfons Maria Jakob (1884 – 1931), fill de comerciants, estudia medicina a les Universitats de Munich i de Berlin, i es gradua a Estrasburg el 1909. Aquell mateix any obté el doctorat per la Universitat d’Estrasburg, on treballarà com assistent de la Clínica psiquiàtrica d’Emil Kraepelin, on hi treballaven Alzheimer i Franz Nissl.
Treballa al Friedrichsberg State Hospital d’Hamburg des de 1911. Durant la 1ª Guerra Mundial, és metge en el front de Flandes i, un cop acabada la guerra, torna a Hamburg on segueix treballant com a neuropatòleg.
El 1924, és nomenat professor de Neurologia i és invitat a donar conferències als Estats Units.
Quan fa 40 anys, Jakob pateix una osteomielitis crònica que es complica amb un abscés retroperitoneal. És operat i mor després de la cirurgia als 47 anys.
Referències
LC Triarhou. Alfons Marie Jakobs (1884 – 1931). Neuropathologist par excellence. Europ Neurology, 2009; 61: 52- 58.
JMS Pearce. Jakob – Creutzfeldt disease. Europ Neurology, 2004; 52: 129 – 131.
Kondziella D, Zeidman LA. What’s is a name? Neurological eponyms of the nazi era, Frontiers of Neurology and Neuroscience, 2016; 36: 184-200.