La malaltia de Lafora és un trastorn neurològic congènit descrit per primera vegada per Rodríguez de Lafora (Fig.1), que es manifesta a la segona dècada de la vida, es transmet per transmissió autosòmica recessiva i es manifesta per mioclònies, crisis epilèptiques generalitzades i demència progressiva. La mort es produeix als pocs anys d’evolució.

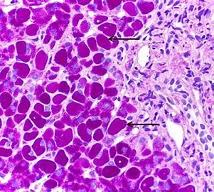
El diagnòstic es basa en la presència de cossos de Lafora al fetge, múscul, pell i cervell, que son cúmuls de glucogen anormal, degut a la mutació del gen EPM2 que codifica una fosfatasa, la laforina (Fig.2). L’acumulació del glucogen anormal és degut a l’absència de laforina.

Rodríguez de Lafora va descriure aquesta malaltia l’any 1911 quan estava a Washington al Government Hospital for the Insane, on Nicolas Achúcarro hi havia muntat un servei de Neuropatologia el 1908, quan va estar en aquest mateix hospital. Lafora va fer-se ajudar per publicar el cas que havia vist pel neuropatòleg alemany Bernard Glueck, el qual va enviar preparacions histològiques del cas a diferents patòlegs. Alfons Jakob, el patòleg que va descriure la malaltia de Creutzfeldt-Jakob, va confirmar les troballes de Lafora i Glueck, dient que es tractava d’una lesió no descrita (Fig.3).

Gonzalo Rodríguez de Lafora va néixer a Madrid, fill de militar. Estudia medicina a Madrid. És deixeble de Luis Simarro i de Nicolás Achúcarro. Amb una beca de la JAE, passa dos anys a Alemanya, primer a l’Hospital Charité a Berlin, al servei del neuròleg Oppenheim, i després a Munich al servei de Psiquiatria del professor Kraepelin i al laboratori del Dr. Alzheimer. Després, per indicació d’Achúcarro, va als Estats Units a treballar un any al Government Hospital for the Insane com histopatòleg. Abans de tornar a Espanya, fa breus estades als serveis dels neuròlegs Pierre Marie i Dejerine a Paris.
A la seva tornada a Madrid el 1913, combina la seva activitat com histopatòleg al laboratori de Fisiologia del sistema nerviós de la Junta d’Ampliació d’Estudis i després al Laboratori de Fisiologia experimental del sistema nerviós.
El conviden a col·laborar en una pàgina que sortirà el dimarts al diari Del Sol, des de la seva fundació l’1 de desembre de 1917. En aquest diari, Lafora hi publica durant 13 anys més de 700 articles sobre temes diversos, de divulgació sanitària, o de crítica al sistema sanitari, l’ensenyament de la medicina o del sistema de provisió de càtedres i altres.
El 1919, funda amb Ortega y Gasset la revista Archivos de Neurobiología, en la que hi col·labora fins 1969, dos anys abans de morir.
El 1932, és nomenat cap del servei de psiquiatria de l’Hospital Provincial de Madrid, i el 1933, ingressa com acadèmic de número a la Reial Acadèmia de Medicina de Madrid.
Durant la Guerra Civil s’exilia a Mèxic l’any 1938. El 1947, torna a Espanya, però no li retornen la plaça de l’Hospital Provincial fins 1954, cinc anys abans de la jubilació.
Referències
M. Balcells. Gonzalo Rodríguez de Lafora. Neurosciences and History. 2014;