En tots els llibres, tant d’Hepatologia com d’Anatomia patològica, “síndrome de Dubin-Johnson” és el terme que s’utilitza per designar una malaltia del fetge, benigna, congènita i sense dèficit funcional hepàtic, que és la expressió clínica d’una anomalia del metabolisme de la bilirubina que es va descriure per primera vegada als Estats Units l’any 1953.
En els primers articles la síndrome, es designava com icterícia crònica idiopàtica (Dubin IN, Johnson FB. Chronic idiopathic jaundice: a new clinicopathologic entity with a report of 12 cases . Medicine, 1953; 33(3): 157 – 197) (Fig.1). Aviat es va introduir la denominació “síndrome de Dubin-Johnson” en els casos descrits per GW Halpenny et al., de persones joves amb icterícia, un dipòsit de pigment negre en el fetge i una bilirubina alta en sang, a expenses de la fracció conjugada, sense signes de colèstasi (Halpenny GW et al. Chronic idiopathic jaundice with unidentified pigment in liver cells. Dubin-Johnson syndrome. Can Med Asoc. 1957; 77 (11): 1026 – 1028).

Metges de la Clínica Mayo van proposar que la malaltia es designés amb els noms dels dos signants del primer article on es va descriure aquesta alteració (Butt HR et al. Studies of chronic idiopathic jaundice (Dubin-Johnson disease). Gastroenterology, 1966; 51 (5): 619 – 639).
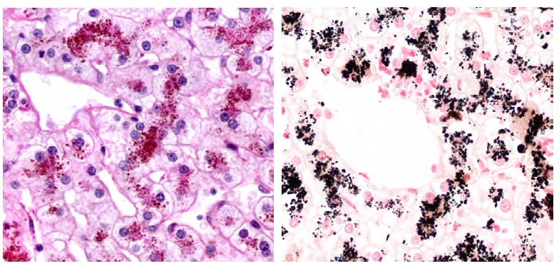
Des d’aquests estudis inicials s’ha progressat en el coneixement de la genètica, i avui se sap que la malaltia de Dubin-Johnson és deguda a una alteració del metabolisme intra-hepatocitari de la bilirubina conjugada, que no pot travessar el pol biliar dels hepatòcits per un dèficit de l’enzim que efectua aquesta funció, causat per una mutació del gen ABCC2. Juntament amb la bilirubina, hi ha una dificultat per excretar a la via biliar un pigment de naturalesa melànica, d’origen catabòlic que s’acumula en l’interior dels hepatòcits i és patognomònic de la malaltia (Fig.2), i també dificultat per excretar un colorant, la bromosulftaleïna.

Curiosament aquesta entitat mèdica s’ha designat com a síndrome la majoria de vegades i com a malaltia en menys ocasions. En realitat s’hauria de dir malaltia, perquè coneixem avui que es tracta d’un trastorn hereditari, coneixem quin és el gen mutat, quin és l’enzim que deixa de produir-se en la quantitat necessària, i quins són els trets clínics característics. No hi ha cap altra malaltia hepàtica que cursi amb hiper-bilirubinèmia conjugada, enzims de colèstasi normals, i dipòsit de pigment en els hepatòcits. Ignoro perquè els autors s’encaparren amb mantenir la paraula síndrome quan en realitat haurien de dir malaltia.
Síndrome és el terme que s’aplica en situacions en les que els símptomes que presenta el malalt poden correspondre a més d’una causa, que encara no hem identificat o no podrem identificar. Un exemple entenedor és el de la síndrome gripal, que fa pensar en un quadre de mocs, tos, distèrmia, fatiga física, que podrien ser causats per diferents virus i alguns bacteris.
Vaig veure el primer cas de síndrome o malaltia de Dubin-Johnson el 1967, menys de dos anys després d’haver acabat la carrera. No vaig fer el diagnòstic, que va fer un company més gran que estava a la càtedra del professor Gibert Queraltó a l’Hospital Clínic, el Dr. Badrinas. Però sí que vaig fer el diagnòstic dels tres casos següents que van ingressar a l’hospital, casos que vàrem explorar amb un colorant, la bromosulftaleïna, que té en aquesta malaltia un comportament únic. Aquest estudi ens va permetre publicar el nostre primer article en una revista nord-americana (Rodés J, Zubizarreta A, Bruguera M. Metabolism of bromosulftalein in Dubin-Johnson syndrome. Am. J. Dig. Dis.1972; 17 (6): 545-552).
Els que van descriure en primer lloc aquesta malaltia, els Drs. Dubin i Johnson, no són personatges gaire coneguts. Eren metges militars, Isadore Nathan Dubin (1913-1980) i Frank B. Johnson (1919-2005), que treballaven a l’Armed Forces Institute of Pathology (AFIP).

Dubin va néixer al Canadà, de família jueva, però es va nacionalitzar nord-americà el 1947. Graduat com a metge el 1935 per la McGill University de Montréal, fa la residència en anatomia patològica al National Cancer Institute, de 1949 a 1951. El 1952, treballa com a patòleg a la Universitat de Duke, fins el 1954, quan és contractat per la Universitat de Tennessee. De 1954 a 1955 és a l’AFIP, on dirigeix la secció hepàtica, alhora que exerceix com a patòleg del Veterans Administration Hospital de Washington. El 1956, és contractat com a professor d’anatomia patològica a la Women’s Medical School de Pennsilvània (Fig.3).
Frank B. Johnson era un patòleg afroamericà, format a la Howard University de Washington, una excel·lent universitat amb una majoria d’estudiants negres perquè no s’hi exercia la discriminació racial. S’allista a l’exèrcit el 1944 en sortir de la universitat. Quan és llicenciat de l’exèrcit, fa la residència al New Jersey City Medical Center, on experimenta discriminació pel seu color de pell, i on el cap del departament de cirurgia no li permet rotar pel seu servei. El 1952, ingressa a l’AFIP, on és nomenat cap de la secció d’histoquímica primer i, més tard, cap de la Divisió de Patologia Química al Departament de Patologia Ambiental i Toxicologia, ja que s’havia convertit en un expert en la identificació de substàncies en teixit hepàtic. També va ser conservador del Museu de l’AFIP durant dos anys (Fig.4).

Referències
Rodés J, Coll-Monegal J, Bruguera M. Síndrome de Dubin-Johnson (cuatro casos). Rev Clín Esp. 1969;115(2):117-124.
Rodés J, Zubizarreta A, Bruguera M. Metabolismo de la bromosulftaleína (BSF) en la enfermedad de Dubin-Johnson. Rev Clin Esp. 1969;115(2):125-132.
Bruguera M, Esquerda JE, Rodés J. Naturaleza del pigmento de la enfermedad de Dubin-Johnson (a propósito de 4 casos). Rev Clin Esp. 1970;117(2):151-155.
Rodés J, Zubizarreta A, Bruguera M. Metabolism of the bromsulphalein in Dubin-Johnson syndrome. Diagnostic value of the paradoxical increase in plasma levels of BSP. Am J Dig Dis. 1972;17(6):545-552.
M. Bruguera Cortada. Dels meus inicis com hepatòleg i la síndrome de Dubin-Johnson. Annals de Medicina, 2020; 103: 174-177.