Werner Forssmann (1904 – 1979) va fer el primer cateterisme cardíac quan tenia 25 anys en un hospital pròxim a Berlin, l’August Victoria Home d’Eberswalde, on feia l’internat. Se’l va fer ell mateix perquè el seu cap li havia prohibit fer-ho en cap malalt. Es tenia en aquell temps la idea que el cateterisme cardíac era perillós, però ell estava convençut que no ho era, per això ho experimentà en ell mateix (Fig.1).

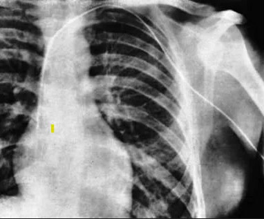
Es va fer ajudar el dia del cateterisme per una infermera, Gerda Ditzem, a qui va enredar perquè col·laborés. Forssmann es fa ell mateix una incisió a la vena cubital anterior del braç, per on introdueix un catèter urinari (Fig.2). Quan ja ha introduït 30 cm, se’n va caminant al Departament de Radiologia, que estava al soterrani de l’hospital, on convenç a un tècnic de que li faci una radiografia un cop ha introduït el catèter fins el cor. Werner no ha sentit cap dolor durant l’examen.

Ha demostrat que “el cateterisme és possible i no causa cap mal”. Escriu la seva experiència en un article curt que envia al Klinische Wochenscrift.
Quan el director de l’hospital coneix el que ha fet, li recomana que deixi l’hospital i busqui un lloc on pugui fer investigació. Forssmann és acceptat com metge assistent a l’Hospital Charité de Berlin, el més prestigiós d’Alemanya al servei del professor Sauerbruch, famós cirurgià (Fig.3).

L’article de Forssmann apareix quan aquest només porta tres mesos al Charité, Sauerbruch en llegir-lo s’enfada i el crida al seu despatx, on l’esbronca i l’acomiada, advertint-li que el seu servei no és un circ, on es fan coses extravagants.
Forssmann decideix deixar la cirurgia, perquè creu que tindrà les portes tancades en qualsevol altre centre, i decideix fer urologia, per això entra al servei de Karl Heusch al Rudolf Virchow Hospital de Berlin. Mentre està amb Heusch, es redueix la mortalitat de la prostatectomia. Tres anys després, es casarà amb una uròloga.
De 1932 a 1945, Forssmann està afiliat al partit nazi. Quan comença la II Guerra Mundial, ha d’incorporar-se a files com oficial de sanitat. Va al front, com a cirurgià, i cau presoner dels nord-americans. És alliberat el 1945, amb la sanció de no exercir la medicina fins el 1950. Llavors comença a exercir com uròleg en un poble.
Forssman no està en els llocs visibles de la medicina alemanya, però el seu treball és mencionat en algunes publicacions. El cardiòleg escocès John McMichael coneix l’experiment de Forssmann i el localitza, invitant-lo a anar a Anglaterra a donar una conferència (Fig.4).

A partir d’aquest fet, comença a tenir reconeixement a Alemanya, fins que, el 1956, se li concedeix el premi Nobel de Medicina, junt amb el francès André Cournand i l’americà Dickinson W. Richards, que havien recuperat la tècnica de Forssmann el 1941 (Fig.5).

El 1958, és contractat com a cap de servei de la divisió de cirurgia de l’Hospital Evangèlic de Dusseldorf i és nomenat professor de cirurgia i urologia de la universitat Johannes Gutenberg de Maguncia.
Forssmann es penedí de la seves idees polítiques i es va convertir en un adversari de les armes nuclears i de la pena de mort. Es dedica a reflexionar sobre la eutanàsia, fins que li arriba la mort per un atac de cor el 1979.
Referència
Werner Forssmann. Experimentation on my self. Memoirs of a surgeon in Germany. Saint Martin’s Press.