Abraham Colles (1773 – 1843) (Fig.1) és el cirurgià irlandès amb més prestigi de la primera meitat del segle XIX, degut a les seves contribucions en el camp de l’anatomia, de la cirurgia i de la urologia, així com en el de la docència.

Nascut en una família benestant, estudia al Trinity College de Dublin, on obté el títol de batxiller en arts el 1795. El 1797, obté el doctorat en medicina per la universitat d’Edimburg, amb la tesi “De venesectione”. De 1790 a 1797, està com aprenent del Dr. Philip Woodroffe, que era el cirurgià resident del Dr. Steeven’s Hospital de Dublin (Fig.2). Colles substituirà Woodroffe en el càrrec de cirurgià resident des de 1799 fins 1813. A partir d’aquest any, seguirà en el mateix hospital amb la categoria de cirurgià visitant, que exercirà fins 1841, quan es retira.

El 1797, ja doctor en cirurgia, Colles fa una estada breu a Londres amb el prestigiós cirurgià Astley Cooper aprenent a dissecar la regió engonal. El 1803, és contractat com a cirurgià consultor per dos hospitals de Dublin, el Rotunda Hospital i el Cork street Fever Hospital.
Deu estar considerat com un excel·lent cirurgià perquè, el 1802, és elegit president del Royal College of Surgeons of Ireland (RCSI), quan només tenia 28 anys. El 1804, és contractat com a professor d’Anatomia, Fisiologia, i Cirurgia del RCSI.
En la seva activitat d’anatomista, introdueix un canvi en el sistema habitual de fer les disseccions anatòmiques, fent-les de manera topogràfica perquè tinguin una utilitat quirúrgica.

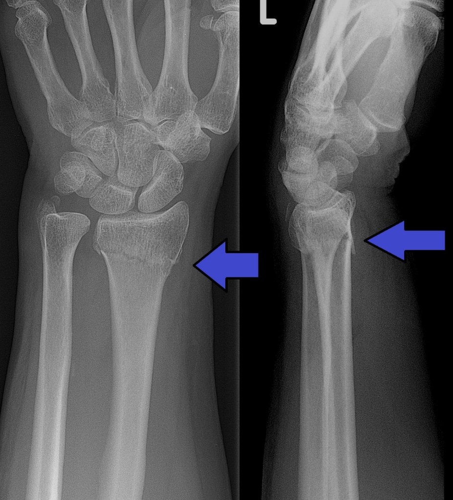
El 1811, publica “Teatrise of surgical anatomy” (Fig.3) i, el 1814, l’article en el que descriu la fractura que es coneix amb el seu nom (Fig.4), que es publica a l’Edimburg Medical and Surgical Journal amb el títol On the fracture of the carpal extremity of the radius. Aquesta fractura provoca un desplaçament dorsal característic amb angulació que adopta l’aspecte d’una forquilla (Fig.5). Cal destacar la precisió amb la que Colles descriu la fractura, sense disposar de raigs X.
Sembla que un metge francès, Claude Pouteau, havia descrit abans aquest tipus de fractura però la seva descripció no va ser coneguda per Colles.
També descriu la seva observació de col·legues i estudiants morts després d’una punxada accidental fent una autòpsia.

A més de la cirurgia, Colles es va interessar per les malalties venèries. Publica, el 1937, Practical observations on venereal disease and on the use of mercury, on descriu com evitar donar dosis tòxiques de mercuri. Anys abans havia publicat un article sobre el limfogranuloma engonal, que ell considerava com una malaltia específica, i que un segle més tard es va saber que era una malaltia venèria causada per la Chlamydia trachomatis.

Colles es jubila de la docència el 1836 per una malaltia obstructiva pulmonar, però segueix anant a l’hospital, fins que mor dos anys desprès d’un cor pulmonale.
Colles ha tingut un gran reconeixement a Irlanda per ser el primer que introdueix la dissecció topogràfica a l’illa i per ser el cirurgià irlandès més prestigiat a Europa. El RCSI té una sala en la seva seu denominada Sala Colles, on s’hi exhibeixen quadres i pertinences del cirurgià.
Referències
R. Romero-Reverson. Abraham Colles (1773 – 1843), physician, surgeon and anatomist. J. Orthop. Res, Ther., 2019; 11 (2): 1 – 5.